来源:PAKISTAN VETERINARY JOURNAL
原著:Sakandar Khan等
2023年7月28日,Sakandar Khan等作为原著作者,在《PAKISTAN VETERINARY JOURNAL》发表了题“Epidemiology of Bovine Hydatidosis: Urbanization, Dogs, Animal Care and Proximity to Slaughterhouses are Important Risk Factors for Cattle”论文。

研究要点
囊型包虫病是一种由细粒棘球绦虫引起的被忽视的热带疾病,具有"全健康"重要性。
该病对巴基斯坦经济造成重大影响,畜牧业是该国农业的重要支柱。
鉴于牛群具有重大社会经济和人畜共患病意义,我们调查了巴基斯坦旁遮普省三个既往研究较少的地区(纳罗瓦尔、谢胡普拉和锡亚尔科特)的牲畜包虫病流行率。
我们共筛查了1168头屠宰牛是否存在包虫囊肿,对采集的包虫囊肿进行了显微镜检查、组织病理学和PCR检测。
总体患病率为7.7%(n=1168),纳罗瓦尔地区(9.6%)显著高于谢胡普拉(7.6%)和锡亚尔科特(5.7%)。
最年长的牛群(>5岁)患病率(11.8%)显著高于年轻牛只(3-5岁为6.8%,1-3岁为4%)。
雌性牛患病率(9.1%)显著高于雄性(4.9%)。
肺部囊肿发生率(71.4%)显著高于肝脏(28.5%),且肺部可育囊肿比例(56.9%)显著高于肝脏(50%)。
对一个囊肿进行PCR测序确认其物种为细粒棘球绦虫,系统发育分析显示我们的ND1序列与G1-G3谱系聚类。
我们发现包虫囊肿会导致周围宿主组织发生组织病理学改变,包括萎缩、纤维化、细胞变性和白细胞浸润。
广义线性模型显示,屠宰场附近(特别是城乡结合部)饲养的动物(牛和犬)会显著增加牛群感染囊型包虫病的风险。
基于这些发现,我们建议开展公共卫生宣传以提高对人畜共患感染的认识。
图文速览

Fig 1 Sampling districts in the current study. (A) Provinces of Pakistan and (B) districts within the province of Punjab. Maps constructed in QGIS
software (3.28.1)

Fig 2 Photographs showing multiple hydatid cysts present in the (A) liver and (B) lungs of cattle, encountered during gross examination at
slaughterhouses

Fig 3 Maximum likelihood phylogeny of ND1 sequences of main lineages of Echinococcus granulosus (s.l.) plus outgroups with GenBank accession numbers in brackets, along with the sequence obtained in the current study. Numbers on branches denote ultrafast bootstrap support values for the inferred groupings

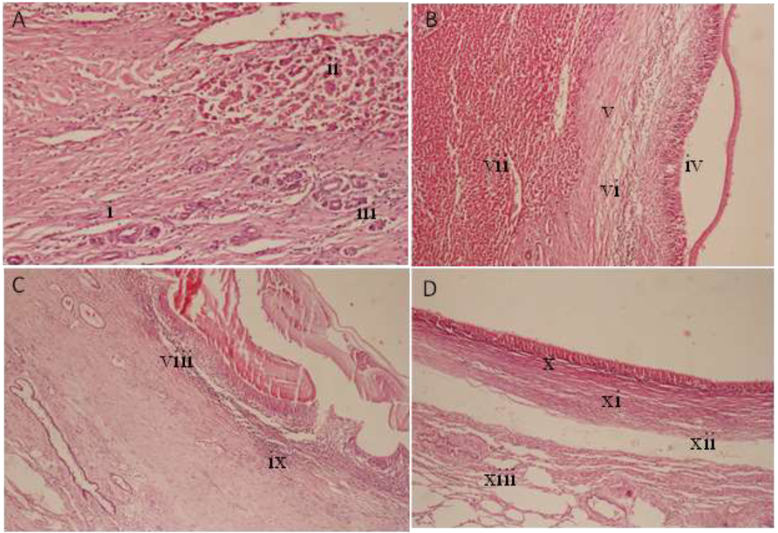
Fig 4 Light microscope images of cattle tissue
infected with Echinococcus granulosus stained with haematoxylin and eosin (40X magnification). (A) Liver showing (i) fibrosis, (ii) atrophy of hepatocytes and (iii) bile duct hyperplasia. (B) Liver with (iv) cyst lining, (v) infiltration of mononuclear inflammatory cells, (vi) proliferation of fibrous connective tissue and (vii) atrophy. (C) Lung showing (viii) degeneration of cells and (ix) leucocytic infiltration. (D) Lung with (x) proliferation of fibrous connective tissue, (xi)
infiltration of mononuclear inflammatory cells, (xii)
cystic wall and (xiii) atelectasis
Table 1 GLM analyses of prevalence of hydatidosis of slaughtered cattle and risk factors based on data from sociodemographic survey from farmers completed in parallel to sample collection

Table 2 Prevalence of Echinococcus granulosus in cattle from two provinces (Punjab and KPK=Khyber Pakhtunkhwa) and different districts of Punjab, Pakistan

附件: