亮点介绍
2026年2月27日,《中国兽医杂志》网络首发题为《新型H6亚型禽流感病毒对鸡的致病性和传播性研究》的研究论文。该研究确认,2025年10月以来我国华东地区流行的新型H6N1和H6N2亚型禽流感病毒(AIV)由水禽源H6亚型AIV与鸡源H9N2亚型AIV基因重配产生,对鸡的适应性和致病性显著增强,且具有扩散风险,需开展针对性流行病学监测工作,建立科学有效的防控体系,防范疫情进一步蔓延,保障禽类养殖产业健康发展。
全文速览
1 研究背景
自2025年10月以来,中国华东地区多个省份的鸡群(包括黄羽肉鸡、白羽肉鸡和产蛋鸡)陆续出现严重呼吸道症状和急性产蛋下降等疑似禽流感病例。流行病学监测数据显示,鸡群中H6亚型AIV检出率呈突然上升趋势。有必要明确最新出现的鸡源H6亚型AIV的基因特点和生物学特性。
2 研究目的
系统阐明新型H6亚型AIV的基因起源和生物学特性,为制定针对性防控策略提供科学依据。
3 研究方法
对华东地区2个典型发病鸡场开展病原分离鉴定和基因遗传进化分析,并通过动物回归试验系统评估病毒的致病性和传播性。
4 研究结果
(1)分离获得的2株H6亚型AIV毒株均为新型重配病毒。2株毒株分别命名为A/CK/EC/F1024/2025(H6N2)和A/CK/EC/F1019/2025(H6N1)。遗传进化分析显示,分离株由ST339-like谱系水禽源H6亚型AIV与鸡源G57基因型H9N2亚型AIV基因重配产生(图1、图2)。鸡源H6亚型AIV在流行过程中可能不断与鸡群中流行的H9N2亚型AIV发生动态基因重配,进而增大了H6亚型AIV的基因多样性。2株分离株均重配获得H9N2亚型AIV的内部基因,已获得较强的陆生禽类适应能力,其跨种感染哺乳动物的潜在风险可能有所提升。

图1 2株H6亚型AIV分离株的HA和NA基因系统进化树
红色:本研究分离株;下同

(2)新型H6亚型AIV均对无特定病原体(SPF)产蛋鸡具有高度适应性。感染鸡表现出典型呼吸道症状和生殖系统病理损伤(图3)。病毒可在呼吸系统和眼睑组织中高效复制,在部分感染鸡的输卵管和肾脏组织中也可实现高水平复制(图4、图5)。

图3 2株H6亚型AIV分离株感染SPF产蛋鸡的典型临床表现和剖检病变

图4 2株H6亚型AIV分离株感染SPF产蛋鸡的脏器病毒分布和滴度测定
虚线:最低病毒检出量;下同

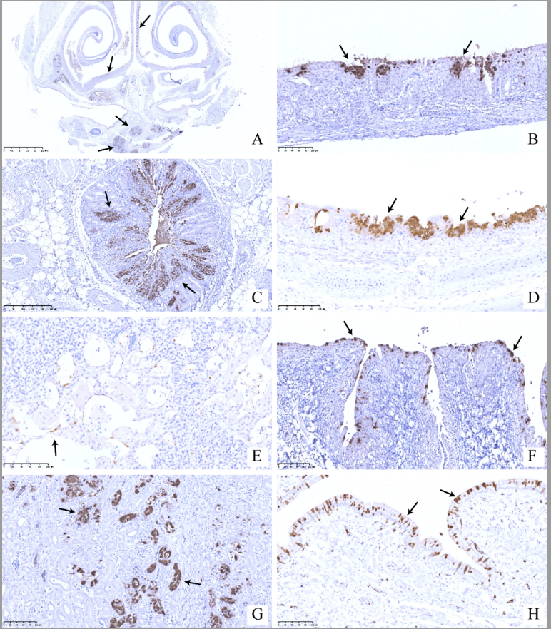
图5 2株H6亚型AIV分离株感染SPF产蛋鸡的脏器病毒分布(IHC)
A~B:鼻甲黏膜层上皮细胞阳性;C:软腭腺体细胞聚集性感染,抗原强阳性;D:气管黏膜上皮细胞阳性;E:肺脏支气管上皮细胞弱阳性;F:眼睑黏膜上皮细胞阳性;G:肾小管上皮细胞强阳性;H:输卵管黏膜层上皮细胞强阳性;箭头:流感病毒阳性信号
(3)新型H6亚型AIV均能在SPF蛋鸡群中实现高效接触传播。2株分离株可通过口咽和泄殖腔排毒,最长排毒持续时间达8 d(图6)。H6N2分离株具备一定的鸡群内空气传播能力,而H6N1分离株不具备空气传播能力(图7)。

图6 2株H6亚型AIV分离株对SPF产蛋鸡的同居传播性

图7 2株H6亚型AIV分离株对SPF产蛋鸡的空气传播性
+:空气样品活病毒分离阳性;-:空气样品未分离到病毒;×:空气样品未检测到AIV核酸
Ct值
5 研究结论
本研究证实由水禽源H6亚型AIV和鸡源H9N2亚型AIV经基因重配产生的新型H6亚型AIV已高度适应鸡宿主,表现出致病性强、传播效率高等特征,对我国家禽养殖业和公共卫生安全构成双重威胁。未来需持续加强对该类病毒的流行病学监测和防控策略研究,完善“监测-预警-防控”的全链条体系,有效遏制病毒进一步扩散和变异,保障养殖业健康发展和公共卫生安全。
作者介绍
第一作者:佟琪、李泉霖、付梓正

佟琪(1988-),女,高级实验师,博士,研究方向为动物传染病学,从事禽流感病毒流行病学研究工作。

李泉霖(1991-),女,实验师,博士,从事人兽共患病的防控技术与生物安全研究。

付梓正(2004-),男(满族),本科生,2022年至今就读于中国农业大学动物医学院动物医学专业。
通信作者:刘金华、孙洪磊

刘金华(1966-),男,中国农业大学动物医学院教授,博士生导师,从事动物传染病预防与控制研究,长期致力于动物流感病毒遗传演化、致病机理和防控技术等研究工作。作为项目负责人承担了国家自然科学基金重大项目与重点项目、国家重点研发计划等课题,在国际上首次确诊了H5N1亚型禽流感病毒对大型候鸟的感染;揭示了人感染H5N1禽流感病毒的分子病理特征并发现病毒可通过母婴传播而感染胎儿;揭示了G57基因型H9N2病毒可促进H7N9、H3N8等新型禽流感病毒的产生;揭示了H3N8亚型禽流感病毒跨种传播机制,为防控新型流感病毒人间大流行奠定了理论基础,并针对产生新型禽流感病毒的母病毒H9N2,率先研发了HVT/H9载体疫苗,预期为根除H9N2禽流感发挥重要作用。研究成果发表在Cell、Science、Lancet、the Lancet Microbe、PNAS等杂志。

孙洪磊(1983-),男,中国农业大学动物医学院教授,博士生导师,预防兽医学系系主任。主要研究方向为动物流感病毒流行演化规律,新型流感病毒发现与致病传播特性,跨种感染机制以及防控技术研究。主持国家自然科学基金国际合作项目、面上项目、“十四五”国家重点研发计划等多项课题。以第一或通信作者在Cell、PNAS、PLoS Pathogens等学术期刊发表SCI论文20余篇。
论文信息
佟琪,李泉霖,付梓正,等.新型H6亚型禽流感病毒对鸡的致病性和传播性研究[J/OL].中国兽医杂志,2026-02-27.
Tong Q, Li Q L, Fu Z Z,et al. Pathogenicity and transmissibility of novel reassortant H6 subtype avian influenza viruses in chickens[J/OL]. Chinese Journal of Veterinary Medicine, 2026-02-27.